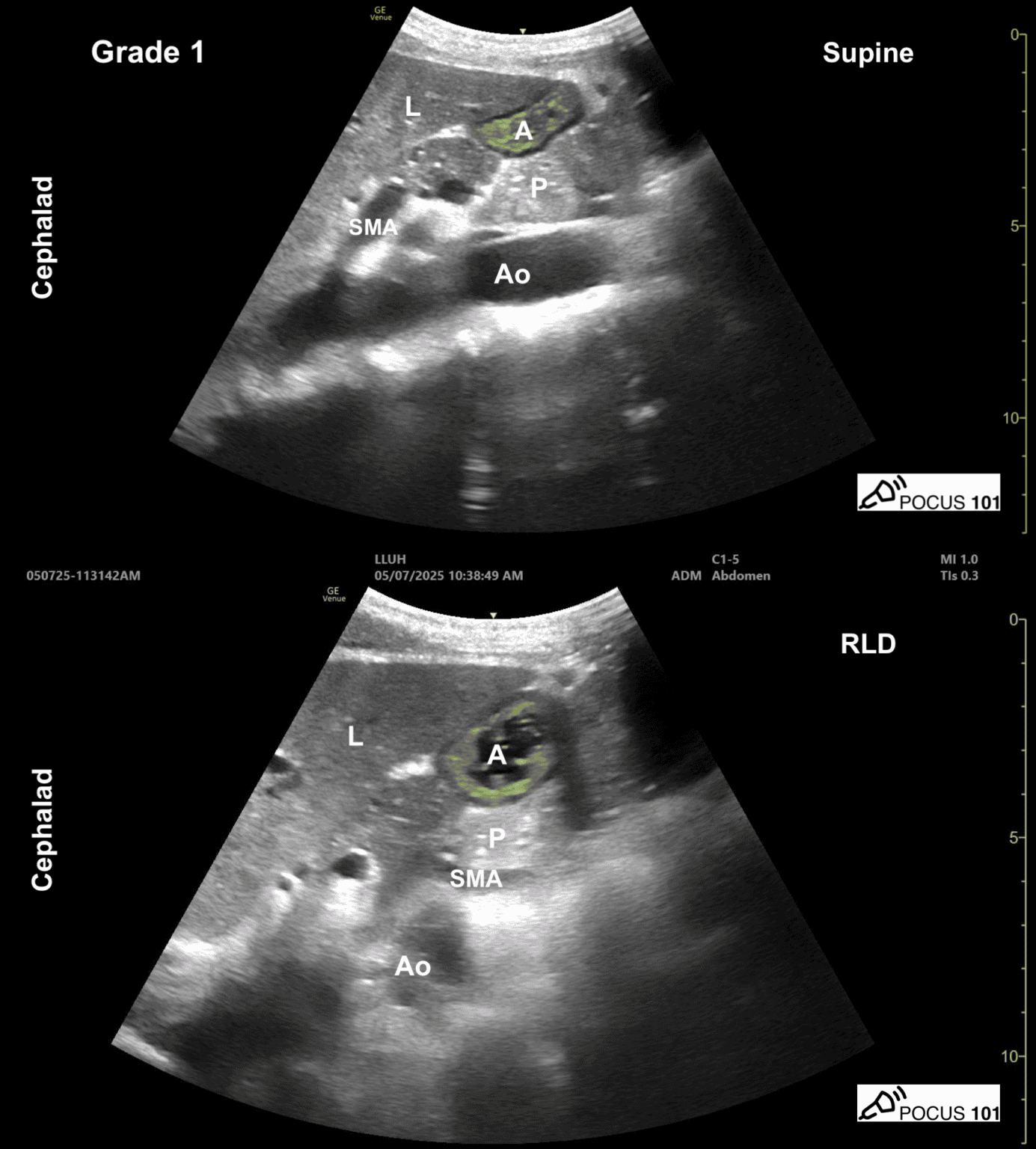
Durchführung
- Lagerung: (1) Rückenlage, (2) Rechtsseitenlage
- Standardschnitt: Linker Leberlappen, Magenantrum, Pankreas, AMS, Aorta abdominalis
Sonografische Magenfüllung n. Perlas
- 0: Magenantrum leer in Rückenlage und Rechtsseitenlage
- 1: Flüssigkeit nur in Rechtsseitenlage (baseline Magensekretionen, auch bei Nüchternheit, siehe Bild)
- 2: Flüssigkeit im Antrum in Rückenlage und Rechtsseitenlage
Ermittlung Magenvolumen
- Antrumfläche messen: In Rechtsseitenlage, zwischen peristaltischen Kontraktionen, mit Tracing-Tool, inkl. der Magenwand
- Magenvolumen [ml] = 27.0 + (14.6 × Antrumfläche [cm]) − (1.28 × Alter)
- Indizierung: Magenvolumen [ml] / Gewicht [kg] (>1.5 ml/kg = hohes Aspirationsrisiko)
