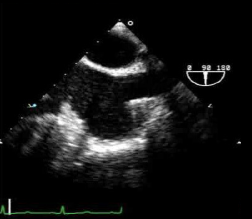
Mid-Esophageal 4-Chamber (ME 4C)
- ME
- Winkel 0°
- Zielstrukturen
- Bisschen wie A4C
- Ziel: TK Durchmesser maximieren
- Ziel: AK/LVOT nicht sichtbar (→tiefer)
- Danach ME 2C
![]()
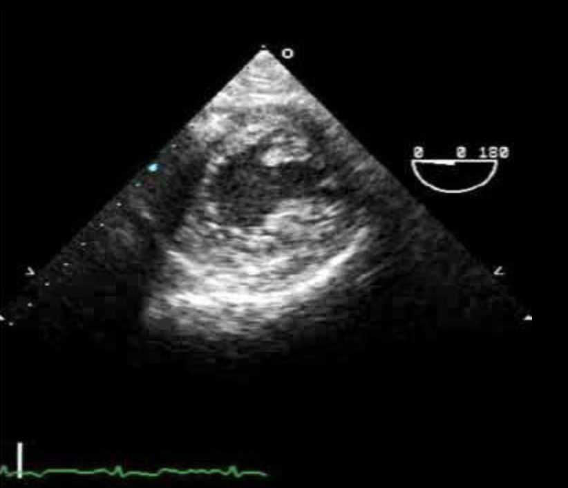
Mid-Esophageal 2-Chamber (ME 2C)
- von ME 4C
- Winkel 90°
- Ziel: MK zentral
- Ziel: RA+RV verschwinden, LAA erscheint
- Zielstrukturen
- LAA
- Coronarsinus (CS)
- MK posteriores+anteriores Segel
- LV Wände (anterior+inferior)
- Danach ME LAX
![]()
Mid-Esophageal Bicaval View (ME Bicaval)
- Von ME 2C (90°)
- Probe rechts drehen
- Leichte Angulierung/Rotation, um IVC + SVC gleichzeitig zu sehen
- Zielstrukturen:
- IVC + SVC (Drähte/Kanülen/ECMO)
- RAA
- Interatriales Septum
![]()
Mid-Esophageal Long Axis (ME LAX)
- Von ME 2C (90°)
- ME / 14 cm
- Winkel 120°
- Zielstrukturen
- AK + LVOT
Transgastral Short Axis (TG SAX)
- In Magen einführen bis Magen/Leber sichtbar
- Anteflexion
- LV zentral durch Rotation links/rechts
- Zielstrukuren:
- Beide Papillarmuskeln
- Alle LV-Wandsegmente (inferior, anterior, septal, lateral)
![]()
Literatur
- Katzenschlager, S., Kaltschmidt, N., Dietrich, M. et al. Prehospital transesophageal echocardiography versus conventional advanced life support in out-of-hospital cardiac arrest (PHTEE–OHCA) – a randomized controlled pilot study. Crit Care 30, 45 (2026). https://doi.org/10.1186/s13054-025-05805-w



